当科では大腸疾患の治療に関わる様々な研究を行っています。癌細胞の細胞株を使った基礎的な研究から臨床に直結する実際的な研究まで幅広い内容を対象としていますが、ここではその中からいくつかをご紹介させて頂きます。
当科で行っている研究
直腸癌に対する化学放射線療法の研究
当教室では古くから直腸癌に対し抗癌剤治療と放射線療法を術前に行う化学放射線療法(Chemoradiotherapy, CRT)を行ってきており、これに関する研究を数多く行っています。臨床面ではCRTの効果をより高めるための新たな抗癌剤投与の方法(TEGAFIRI)を確立し、すでに臨床応用を行っています。動物実験では放射線照射による抗腫瘍免疫の活性化の研究を行っています。さらに大腸癌細胞株や手術切除検体を用いた研究では、放射線照射のダメージから回復しようとする大腸癌細胞内のメカニズムを解明し、これを選択的に妨げることでより放射線の効果を増強する方法を模索しています。
Cancer Sci. 2011 Jul;102(7):1257-63.
Anticancer Res. 2018 Jun;38(6):3323-3331.
Clin Colorectal Cancer. 2018 Sep;17(3):240-246.
Oncol Rep. 2019 Jul;42(1):377-385.
Cancer Sci. 2020 Apr;111(4):1291-1302.
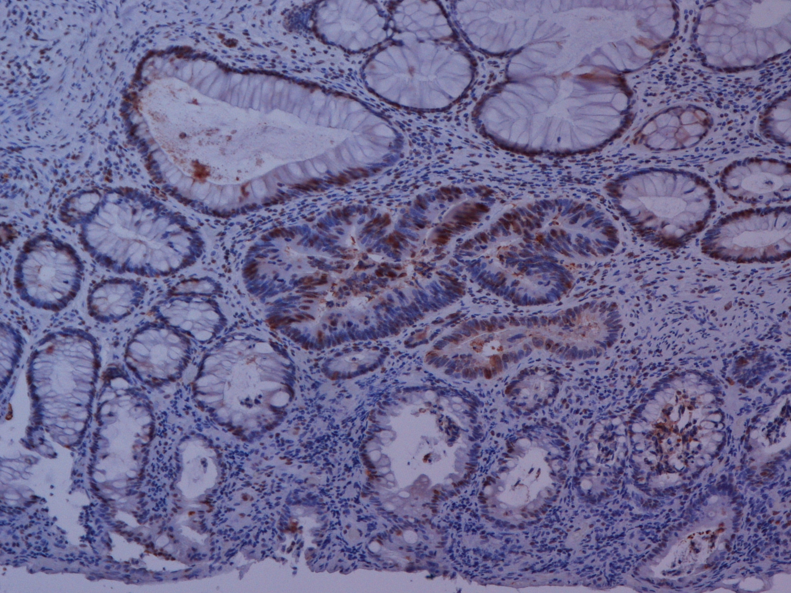
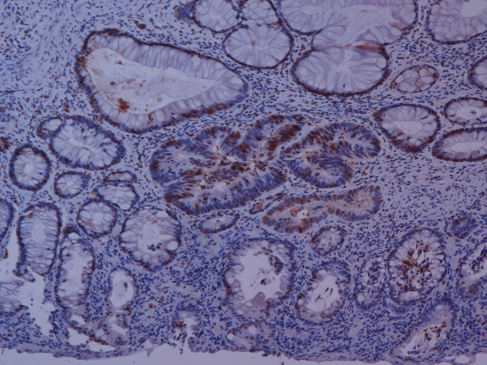
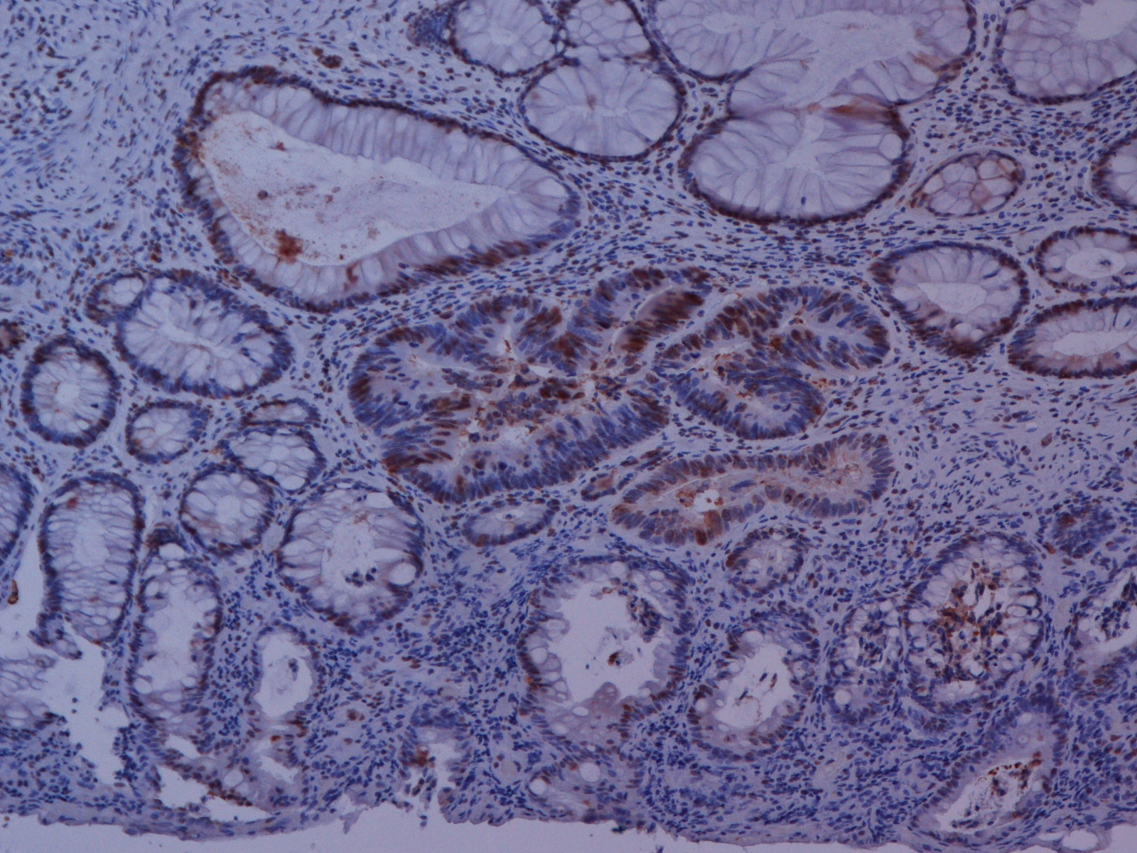
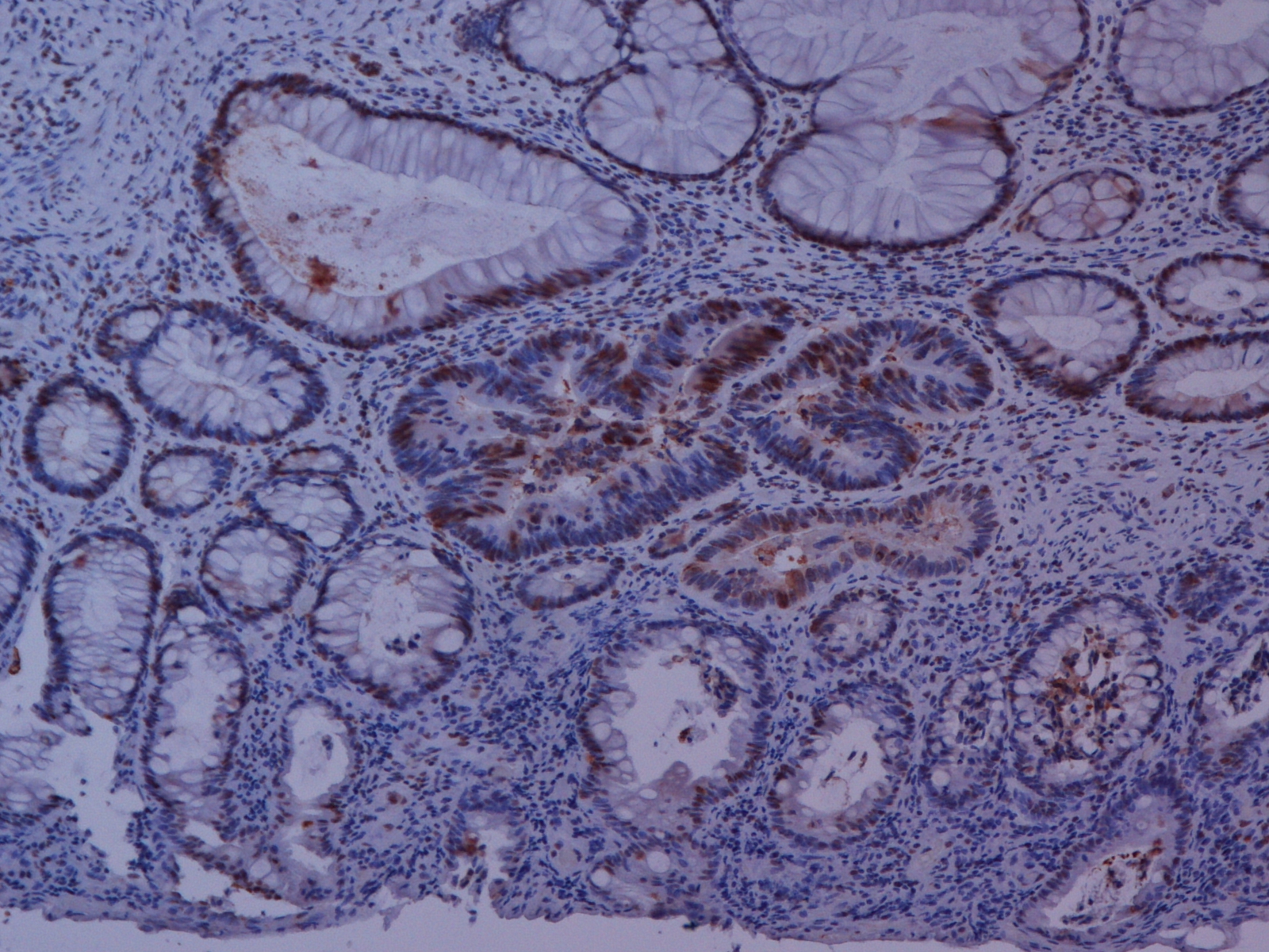
放射線治療後切除した癌組織の顕微鏡写真。免疫染色という手法で放射線による細胞死(アポトーシス)となった部分が茶色く検出されている。
抗癌剤に関する基礎研究
当教室では手術のみならず抗癌剤や放射線療法などを組み合わせた集学的治療を多角的に行っておりますが、以前からその礎となるべき基礎的な研究を行ってきました。既存の抗癌剤や放射線治療だけでなく、新規の抗癌剤についても大腸癌に対する効果を単独あるいは既存治療との組合せにより、細胞実験のレベルでは分子生物学的な手法を用いて検討したり、また動物(マウス)を用いて生体レベルで抗腫瘍効果を検証することで、癌の発育・進展のメカニズムに迫ろうとしています。過去にはインターロイキン-2, ラパマイシン、クロロキンの抗腫瘍効果についての研究内容を報告しています。最近はインドールアミン酸素添加酵素(IDO)-1阻害剤やバノキサントロンなどに注目して、臨床応用につながる成果を目標として研究を進めています。
ancer Lett. 2007; 251(1):105-13.
Cancer Sci. 2011; 102(7):1257-63.
Cancer Res Clin Oncol. 2014; 140(5):769-81.
![]() 大腸癌細胞株の蛍光染色 |
![]() 動物モデルを使用した実験 |
|---|
炎症性腸疾患の発がん機構に関する研究
潰瘍性大腸炎の患者さんでは長年粘膜が炎症にさらされることにより粘膜に遺伝子変化がおき、それを背景として多発的に前癌病変や癌が発生してくることが知られています。通常の大腸癌は盛り上がった形で発育するので、内視鏡で発見することが比較的容易ですが、潰瘍性大腸炎に発生する癌は平坦に広がるため、早期に発見することが非常に難しいのが特徴です。当教室では炎症による背景粘膜の遺伝子変化をとらえることで、癌が発生している可能性が高い患者さんを選別し、こいうった方に重点的に内視鏡を用いた癌の検索を行うことで、より効率的に発生した癌を見つけられるのではないかと考え研究を行っています。最近の研究結果では潰瘍性大腸炎による炎症によりRUNX3という癌抑制遺伝子が欠失することで発がんが促進されること、大腸粘膜のミトコンドリアのDNAの変化が炎症性発現の過程に関わることを見いだし報告しています。
Gastroenterology. 2016 Dec;151(6):1122-1130.
Cancer Genomics Proteomics. 2017 Sep-Oct;14(5):341-348.
Digestion. 2019 Oct 31:1-10.
Digestion. 2020;101(2):156-164.
Anticancer Res 2020; 40(1):101-107.
ミトコンドリアの遺伝子変異を検出。こちらは24の大腸癌細胞株の変異を調べたもの。
肛門機能の治療による変化の研究
直腸手術では、残存する直腸が小さくなることや自律神経への影響から、一定の頻度で手術後に排便(便回数の増加、便漏れ)、排尿(頻回の尿、排尿困難)、性機能(勃起不全、射精障害)などの骨盤機能に障害をきたすことがあり、これをどう回避するのかが重要な課題です。当科では治療前後に肛門機能検査・肛門エコー検査、排便・排尿・性機能に関するアンケート調査を行い、骨盤機能障害の軽減・早期発見・治療に努めています。また超音波を用いて組織に侵襲を加えることなく肛門括約筋の硬さを調べる手法(エラストグラフィー)を確立し、これを用いて治療が及ぼす括約筋への影響を評価することを目指しています。
Asian J Surg 2019; 42(7): 731-739.
Anticancer Res 2020; 40(4): 2199-2208.
ANZ J Surg in press.
![]() 肛門エラストグラフィー |
![]() マノメトリーを用いた肛門機能検査 |
|---|
癌幹細胞の研究
癌組織の中には癌幹細胞と呼ばれる特殊な性質を持った細胞が含まれています。この癌幹細胞は通常の癌細胞へと分化する能力を持つ他、抗癌剤が効きにくかったり転移を起こしやすかったりと様々な特徴を持っています。我々はこの癌幹細胞のマーカーであるCD133やLGR-5などの蛋白に注目し、研究しています。手術切除検体を用いてこれらの因子の発現が肝転移や腹膜播種などの癌の再発にどう関わっているか、また放射線治療においてこの癌幹細胞がどのような関わりを持っているのかの解明を目指しています。また大腸癌細胞株から磁気ビーズを使って癌幹細胞を分離し、低酸素環境における癌幹細胞の役割や働きを調べる研究も行っています。
Ann Surg Oncol. 2016 Jun;23(6):1916-23.
Oncol Lett. 2017 Dec;14(6):7791-7798.
Asian J Surg. 2018 May;41(3):274-278.
Int J Oncol. 2018 Mar;52(3):721-732.
Br J Cancer. 2019 May;120(10):996-1002.
Oncol Lett. 2021 Jan;21(1):19.
磁気ビーズを用いた癌幹細胞の分離
AIを用いた病理検体の遺伝子変化の予測
上でも書いたとおり潰瘍性大腸炎の患者さんでは長年粘膜が炎症にさらされることにより粘膜に遺伝子変異がおき、それを背景として前癌病変や癌が発生してくることが知られています(炎症性発癌)。このタイプの癌は、通常の発癌経路と異なり多発的に生じてくるため、大腸全摘が標準的な治療とされています。通常の大腸癌と炎症性発癌を区別することは治療方針を決定するために重要ですが、人間の目による病理診断では背景粘膜の炎症の存在も相まって、しばしば鑑別が困難です。従来はp53蛋白の免疫染色を用いてp53遺伝子の変異を検出し、鑑別の参考としていました。当科では、次世代病理情報連携学講座と共同で人工知能(AI)に病理画像を学習させることで、p53免疫染色を行わないでも発癌経路の鑑別ができる診断支援ツールの構築を目的とした研究も行っています。
AIを用いて遺伝子変異を検出
3D CT angiographyを用いた大腸術前シミュレーション
大腸を切除するためには大腸を栄養する動脈や静脈を切る必要があります。おおまかな血管の走行は皆同じですが、細かい分枝形態などはかなり個人差があります。近年大腸手術に対し腹腔鏡やロボットといった低侵襲手術で行う機会が多くなってきましたが、これらの手術は開腹手術と異なり狭い視野での手術となるため、切る必要のない血管を誤って損傷することがないよう、術前に血管解剖を理解しておくことが大切です。CT技術の進歩により、腸間膜の細い動脈も三次元構築することが可能となりました。当科で過去手術を受けた多くの患者さんのこういった血管分枝のバリエーションを3Dで細かく調べることで、より安全に手術を行う研究をしています。
Dis Colon Rectum. 2015 Feb;58(2):214-9.
Int J Colorectal Dis. 2016 Sep;31(9):1633-8.
Colorectal Dis. 2018 Nov;20(11):1041-1046.
Ann Med Surg (Lond). 2019 Nov 4;48:124-128.
Colorectal Dis. 2020 Apr;22(4):392-398.
CT angiographyで観察した上腸間膜動脈・下腸間膜動脈
3Dプリンターを用いた精緻な解剖モデルの構築
また特に直腸癌においては狭い骨に囲まれた空間に精嚢や前立腺、尿管などの重要な臓器、重要な血管が多数あり、これらを傷つけないように手術を行う必要がありますが、血管の走り方や分枝形態が複雑で個人差が大きく、これを術前に把握しておくことがより大切になってきます。画面上のシミュレーションだけではなかなか複雑な解剖を把握することが難しいですが、術前にこういった臓器解剖を3Dプリンターで作成し、直接これを手にとって見ながら手術のシミュレーションを行うことで、手術の精度を高めることが可能です。また解剖に関する知識の乏しい学生や若手医師の教育にも非常に有用であることがわかっています。
Tech Coloproctol. 2019 Aug;23(8):793-797.
J Am Coll Surg. 2019 Dec;229(6):552-559.e3.
Int J Colorectal Dis. 2020 May;35(5):905-910.
J Gastrointest Surg. 2020 Jul;24(7):1682-1685.
ANZ J Surg. 2021 Feb 26. doi: 10.1111/ans.16659. Online ahead of print.
3Dプリンターでプリントした骨盤の構造 (赤は動脈、青は静脈、黄色は尿管、緑は神経、黒は転移リンパ節)
その他にも多数の研究を行っております。臨床研究の一覧はこちらからご覧下さい。




